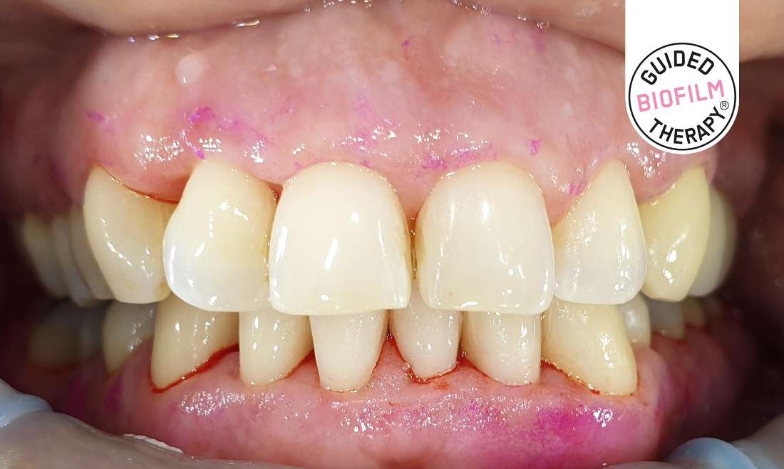
Airflow is a non-contact form of dental hygiene and prevention. It sprays are fine stream of warm water and powder onto the tooth and in hard-to-reach areas to remove food particles, plaque, discoloration, stains and bacteria.
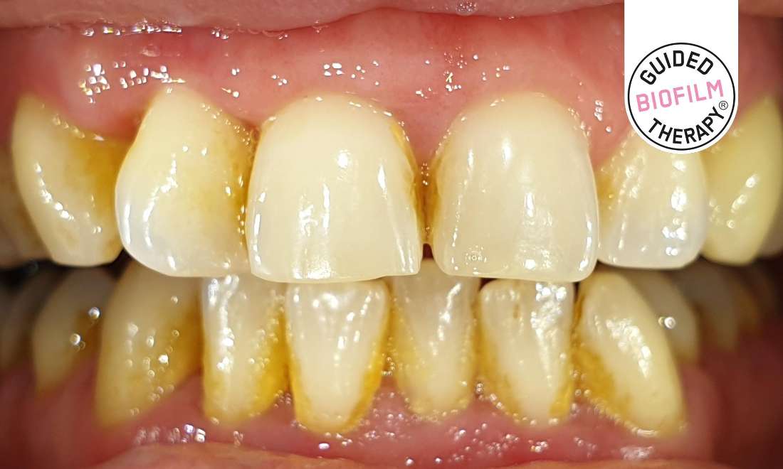
Airflow is a non-contact form of dental hygiene and prevention. It sprays are fine stream of warm water and powder onto the tooth and in hard-to-reach areas to remove food particles, plaque, discoloration, stains and bacteria.