A Dentist on Centre
Teeth Whitening
A healthy, beautiful smile starts here

Teeth Whitening | Dentist

Teeth Whitening

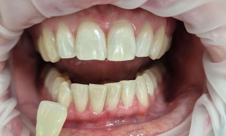
Poladay Take-Home Teeth Whitening

A Dentist on Centre in Bentleigh is proud to offer the latest in tooth whitening systems. Our Poladay Whitening System offers superior take-home whitening kits for a visibly brighter smile in one day and your whitest healthiest smile in seven to fourteen days.

Poladay is designed to deliver a white smile whilst fitting into your busy schedule. Our take-home whitening treatment includes a complimentary 15 minute whitening consultation with one of our friendly dentists, Poladay whitening gel and custom-fitted whitening trays. 

Poladay fits into your daily schedule. Poladay is the super-fast take-home whitening gel which only needs to be worn just 30 minutes each day. Jump start your tooth whitening in a short space of time! The formula is designed for maximum patient comfort with a high water content, neutral pH, natural soothers and conditioners which remineralise and strengthen teeth. Poladay has a gentle spearmint flavour and the formulation is easily rinsed away with water.

Why not call us on 03 9557 9444 to book your FREE tooth whitening consultation with one of our friendly here at A Dentist on Centre in Bentleigh.

Polaoffice+ In-Office Teeth Whitening

Our Bentleigh Dentist offers an in-office whitening system, Polaoffice+. Polaoffice+ is a safe and effective way to whiten your teeth by up to 4-8 shades within 90 minutes! While other non-professional whitening products can harm teeth and gums, Polaoffice contains a desensitising agent to provide a calming effect on your teeth and gives you greater protection and care for your enamel.

A quick and easy way to effectively whiten your teeth is in-office treatment with Pola Office+. The system also includes desensitisers to help minimise sensitivity and protect your enamel. Our Bentleigh dentists are given trained in office whitening to ensure total patient safety.

Your whitened smile can last indefinitely, but this will depend on the person, lifestyle and oral hygiene habits. For the best possible result it is vital that staining foods and beverages are avoided for the first 48 hours immediately after teeth whitening eg. red wine, tea, coffee, beetroot and curries. To keep your teeth looking their best long term we recommend flossing, brushing twice daily and regular 6 monthly professional cleaning.  It is recommended to undertake occasional touch up maintenance using a home whitening kit to keep your smile looking its brightest.

Why not call us on 03 9557 9444 to book your FREE tooth whitening consultation with one of our friendly dentists here at A Dentist on Centre in Bentleigh.

About Pola Teeth Whitening 

  • It is a simple whitening process that lightens the discolouration of tooth enamel
  • It is 100% safe for your teeth and gums
  • Contains a desensitising agent to ensure maximum comfort and protection for your teeth 
  • Take home trays only needs to be worn 30 minutes a day for 2 weeks for optimal results
  • In-office whitening will have your teeth 4-8 shades whiter in just 90 minutes

     

Poladay 9% Instructions

  • Floss and brush your teeth prior to whitening
  • Twist off the plastic cap from the syringe of whitening gel and twist on the mixing tip to lock it onto the end of the syringe
  • Squeeze a small amount of gel into each tooth compartment in the tray
  • Place tray with gel in your mouth (bubbling within the tray is normal) and wear the whitening trays as long as instructed by the dentist
  • If gel squeezes out onto your gums, remove the excess gel with a cotton swab or your finger & use a little less gel next time. If you use too much gel this may cause temporary gum irritation

*Leave trays in for 30 minutes*

  • Take out trays and rinse with cold water (avoid using hot water), use a toothbrush to remove any leftover gel
  • Place trays in the storage case provided
  • Rinse and brush your teeth

Please note

  • Do not eat, drink or smoke while wearing your custom trays
  • Avoid staining foods and beverages for 48 hours immediately following teeth whitening eg red wine, tea, coffee, beetroot, curries, smoking
  • The area of the tooth closest to the gums may take longer to lighten than the biting edge. It will also remain the darkest part of the tooth
  • Crowns, veneers and white colored fillings do not whiten with the whitening gel
  • If you have any questions please call our Bentleigh Dental Team on 9557 9444

Frequently Asked Questions

There are many causes for tooth discolouration. These include ageing and the consumption of staining substances such as coffee, tea, soft drinks, tobacco and red wine. During tooth formation, consumption of tetracycline, certain antibiotics or excessive fluoride may also cause tooth discolouration.

For the first 48 hours, it is important NOT to eat foods which can stain your teeth. After this initial period the chance of staining your teeth is not increased following whitening.

Sensitivity during the treatment may occur with some patients. The Pola light generates minimal heat which is the usual source of discomfort. Occasionally, minor tingling sensations are experienced immediately after the procedure, but always resolve, usually within a few hours. We recommend taking Nurofen or Panadol after the whitening procedure.

Light sensitive individuals, including those undergoing PUVA therapy (Psolaren+UV Radiation) or other photochemotherapy, or patients with melanoma, should not undergo the Pola In-Office procedure. Also, patients taking any light sensitive drugs or substances, whether over the counter, prescription or homeopathic, should consult their primary care physician prior to the procedure. Anyone who is not eligible for Polaoffice In-Office Whitening for these reasons may be an excellent candidate for Poladay Take-Home Whitening.

Although the teeth around the fillings will lighten, the fillings themselves and crowns will not whiten to the same extent. Some whitening of tooth-coloured restorations may occur but ceramic fillings and crowns will not change in colour. Any tooth-coloured restorations on your front teeth will need to be replaced after the whitening procedure.

  • Dr. Susana Le

    Dr. Susana Le, who has been treating patients at A Dentist on Centre since 2009, graduated from the University of Melbourne with honors in 2005.

    Susana makes it her priority to dissolve the phobia associated with ...

    Read More
  • Dr. Eva Sun

    Dr Eva Sun graduated from the University of Melbourne in 2011 with a Bachelor of Dental Science with Honours. She was awarded the John Iliffe Scholarship Prize, Pierre Fauchard Academy Foundation Award, Frances Gray Prize, Michelle ...

    Read More
Any surgical or invasive procedure carries risks, and we recommend seeking a second opinion from an appropriately qualified health practitioner before proceeding.