A Dentist on Centre
Gum Disease/Periodontal Disease
A healthy, beautiful smile starts here

Gum Disease/Periodontal Disease | Dentist

Gum Disease/Periodontal Disease

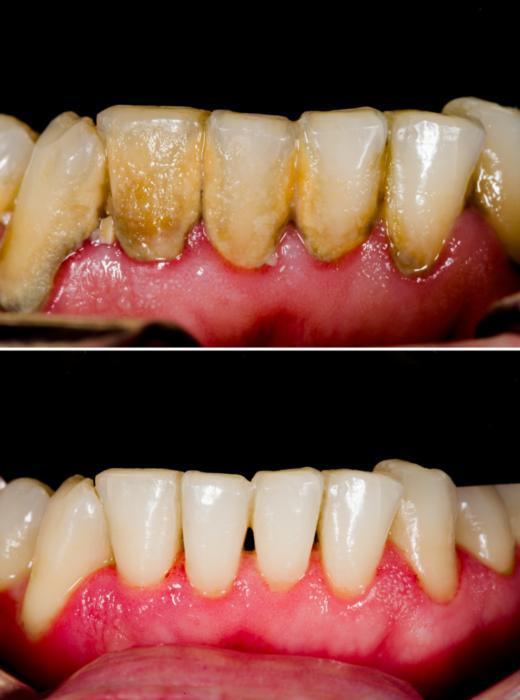
Are your gums red, swollen or bleeding?

At A Dentist on Centre we offer personalised gum disease treatment to restore the health of your gums. Maintaining healthy gums is a huge part of achieving a brilliant smile.

Remember "Teeth don’t fall out, gums drop them". Gum Disease, also known as Periodontal Disease, is one of the leading causes of tooth loss.

What causes Periodontal Disease?

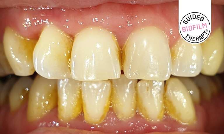
Periodontal Disease is caused by plaque build-up on your teeth and gums, which causes an infection of the gum tissue. This can be a serious issue if you leave it untreated and it often leads to tooth loss. 

Do you have any of these symptoms?

If you have any of the below symptoms we recommend you contact us today for a consultation.

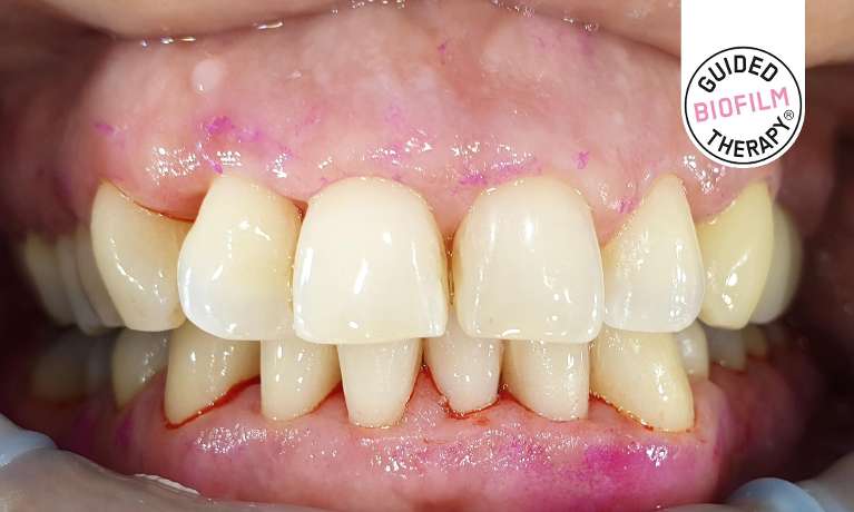
  • Bleeding gums, while brushing your teeth or flossing
  • Pain while chewing
  • Have swollen gums
  • Build-up of tartar
  • Your teeth are sensitive to hold and cold
  • Changes in bite and movement of teeth
  • Bad breath

A Dentist on Centre has the latest treatments and techniques for Gum Disease Therapy, ensuring that treatment will be fast and virtually painless.

If you think you might have gum disease, our friendly Bentleigh Team will be more than happy to help you with your questions. Why not call us on 03 9557 9444 to book your appointment with one of our friendly Bentleigh Dentists.

 

Frequently Asked Questions

At A Dentist on Centre, we recommend that you have a dental check and clean every 6months. Regular visits are important for early detection of dental problems, also helps maintain good oral health.

Click this link to book your next dental appointment online or call us on 9557 9444.

Oral hygiene is very important in maintaining not only healthy teeth but gums. Plaque builds up and it allows a sticky layer of bacteria to buildup on your teeth and harden causing inflammation on the gums. Which leads to bleeding and swollen gums. It can also cause bad breath.

What happens if you leave gum disease untreated?

Left untreated the gums recede increasing spaces between your teeth, which can cause the bone structure supporting the teeth to loosen.

Regular visits to the dentist can help reduce and slow down gum disease along with daily brushing and flossing at home.

The simplest answer when it comes to your dental health is that brushing only removes minimal plaque. It does not reach in between your teeth that is why we also recommend flossing every day additionally, we advise you visit your dentist every six months for a comprehensive examination and professional cleaning, safeguarding your smile against potential issues. Book today for your routine dental examination and dental clean. 

  • Dr. Joanna Rovas

    Dr. Joanna Rovas, who has worked in the dentistry industry for over 25 years, graduated from the University of Melbourne 1990 and has owned the practice since 1994.

    Joanna is a ...

    Read More
  • Dr. Marjan Horriat

    Dr. Marjan Horriat, who has been treating patients at A Dentist on Centre since 2007, graduated from the University of Adelaide in 2000.

    In 2003 Marjan also completed Graduate Diploma in ...

    Read More
  • Dr. Susana Le

    Dr. Susana Le, who has been treating patients at A Dentist on Centre since 2009, graduated from the University of Melbourne with honors in 2005.

    Susana makes it her priority to ...

    Read More
  • Dr. Eva Sun

    Dr Eva Sun graduated from the University of Melbourne in 2011 with a Bachelor of Dental Science with Honours. She was awarded the John Iliffe Scholarship Prize, Pierre Fauchard Academy Foundation ...

    Read More
Any surgical or invasive procedure carries risks, and we recommend seeking a second opinion from an appropriately qualified health practitioner before proceeding.